الارشيف / صحة و رشاقة / لبنان 24

إليكم طرق تنظيف الرئتين من غبار العاصفة

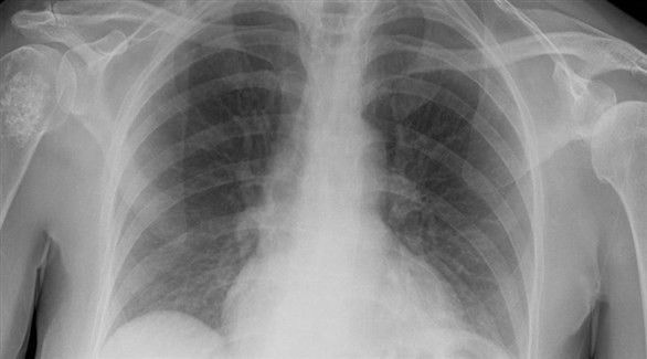
الحساسية والربو في أعقاب عاصفة رملية من المشاكل الموسمية، وإلى جانب هذه المشكلة هناك التهاب الرئتين الذي ينتج عن التعرض المكثّف للرياح المحمّلة بالغبار.

تقوم الشعيرات الموجودة في القصبة الهوائية بتنقية الهواء من الرمال، لكن نتيجة العواصف يدخل إلى الجهاز التنفسي كمية كبيرة من هذه الرمال تثير الحساسية أو يحمل بعضها جراثيم تنقل العدوى. إليك أهم الأعراض وطرق تنظيف الرئتين:

السعال المتكرّر، والصفير أثناء الشهيق أو الزفير مع ألم الصدر من أهم الأعراض المشتركة للحساسية والتهاب الرئتين بعد استنشاق غبار عاصفة رملية. وقد يؤدي السعال المتكرّر مع صعوبة التنفس إلى خدوش في الرئة.

إلى جانب ذلك، قد ترتفع حرارة الجسم، ويحدث ما يسمّى بـ"الصدمة الإنتانية"، وهي أعراض متقدمة ناتجة عن الالتهاب الرئوي بسبب الغبار.

وعندما تنتشر العدوى في الدم يمكن أن تدخل الجراثيم المسببة للالتهاب إلى مناطق أخرى من الجسم، وقد يحتاج المريض وقتها إلى رعاية في المستشفى لإعطائه مضادات حيوية وسوائل تساعده على الشفاء.

تنظيف الرئتين بطرق طبيعية:

* تناول كبسولات الروزماري بجرعة مقدارها 500 ملغ لتنظيف الرئتين.

* اشرب البابونج مع العسل أكثر من مرة في اليوم.

* تناول أعشاب زهر العسل مرة في اليوم.

* مارس تمارين التنفس واليوغا لمدة 30 دقيقة يوميا. تساعد تمارين اليوغا التي تتضمن تدريبات الشهيق والزفير على تنظيف الرئة.

* احرص على شرب عصير البرتقال والغريب فروت.

* اشرب شاي الزنجبيل الدافئ يومياً.

(24)

اشترك فى النشرة البريدية لتحصل على اهم الاخبار بمجرد نشرها

تابعنا على مواقع التواصل الاجتماعى